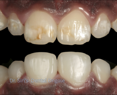
Fluorosis & Bleaching
Dental fluorosis causes discoloration and white or brown spots on teeth due to excessive fluoride exposure during tooth development. Bleaching is an effective cosmetic treatment that helps lighten and even out tooth color, restoring a brighter and more confident smile.
- Professional tooth whitening
- Reduction of white and brown fluorosis stains
- Improved smile aesthetics
- Safe and customized bleaching techniques
- Boost in confidence and appearance
Fluorosis & bleaching treatments are designed to restore your smile by minimizing discoloration and brightening your teeth. With professional care, you can achieve safe, natural-looking results that last.
faqs
Everything you need to know about Fluorosis & Bleaching
Fluorosis is a condition that develops when teeth are exposed to high levels of fluoride during childhood, leading to visible stains or discoloration on the enamel.
Bleaching lightens the surrounding enamel color, making white or brown fluorosis stains less noticeable and improving overall tooth appearance.
Yes, when performed by a dental professional, bleaching is a safe and effective treatment. Customized techniques ensure minimal sensitivity and natural results.
Results can last for months to years depending on lifestyle habits such as diet, oral hygiene, and avoiding stain-causing foods or drinks.
